症例集│大阪梅田の歯医者 アモウデンタルクリニック

各線梅田駅徒歩5分/土曜診療/女性医師在籍

矯正治療症例 CASES

矯正治療症例

マウスピース矯正の症例

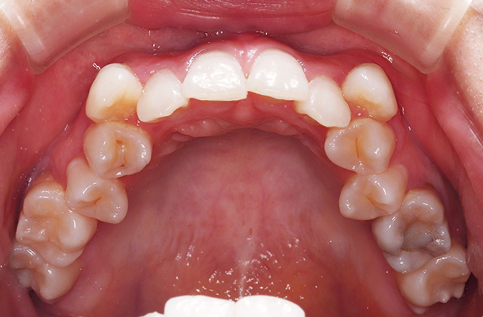
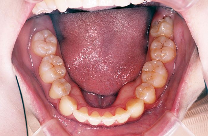
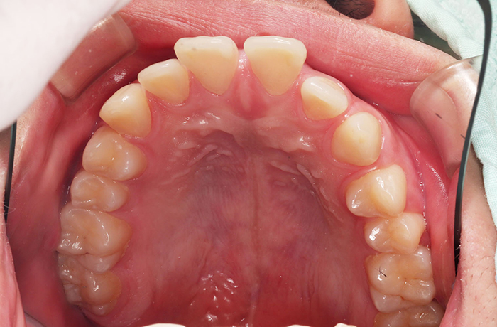
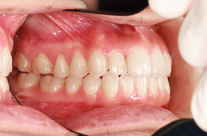
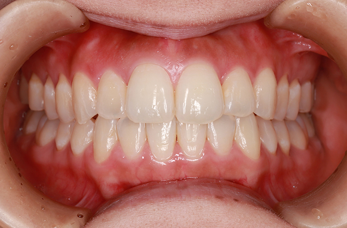
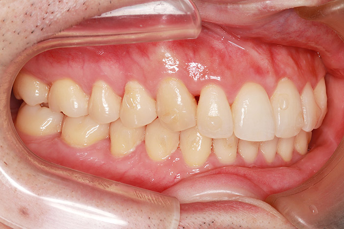
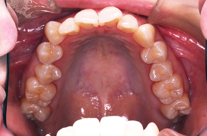
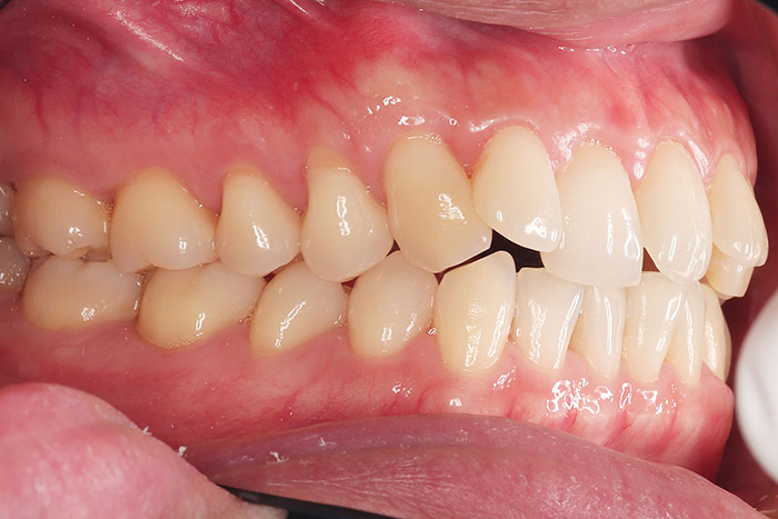
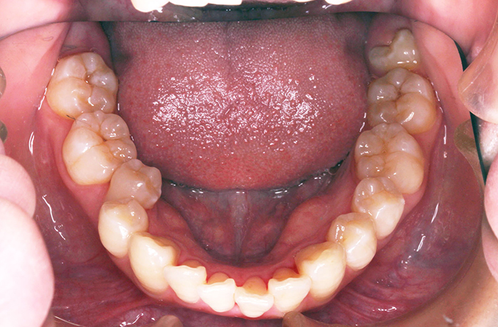
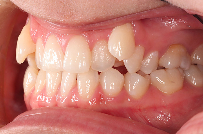
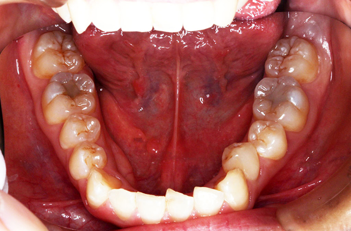
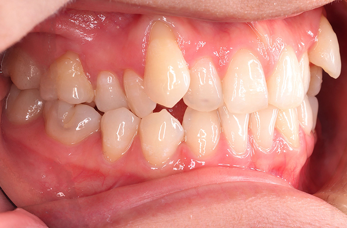
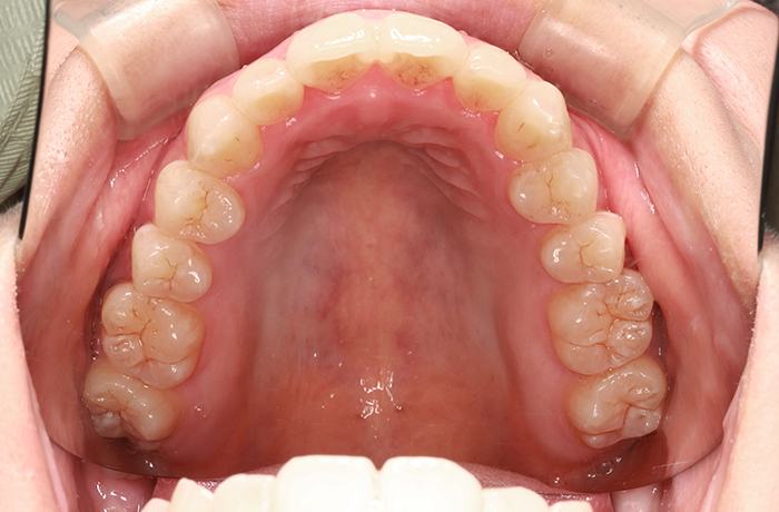
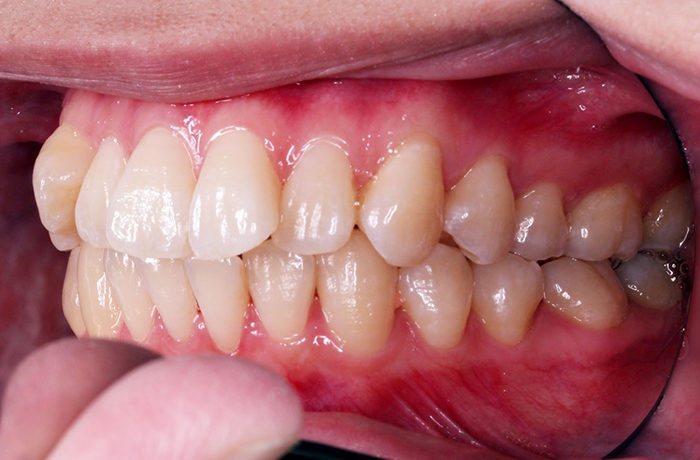
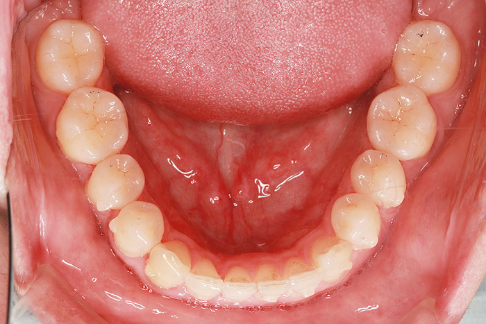
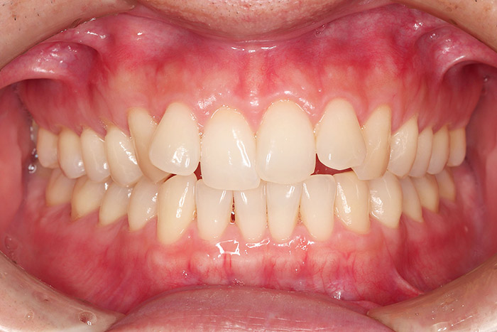
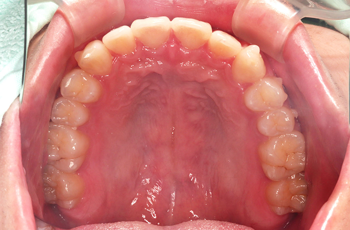
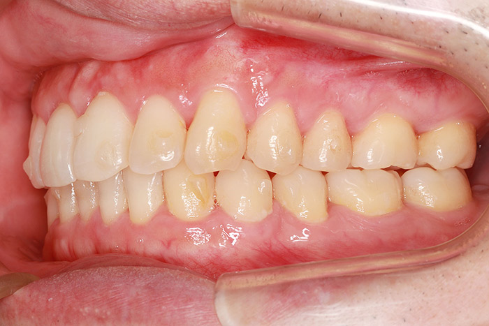
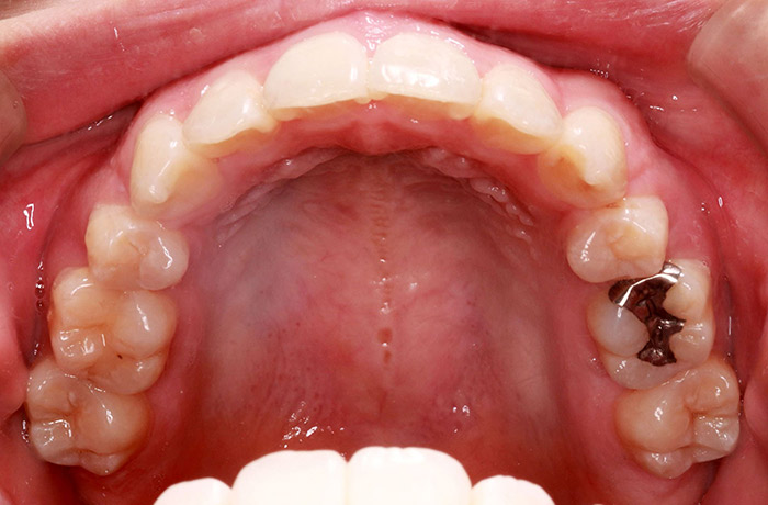
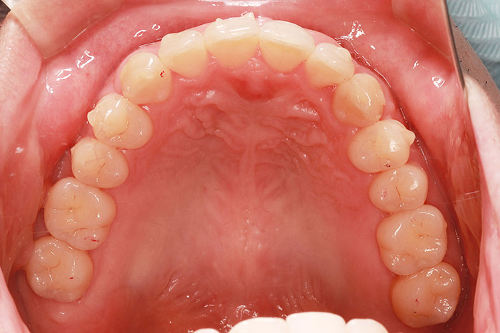
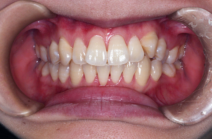
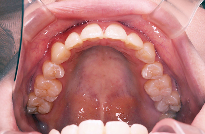
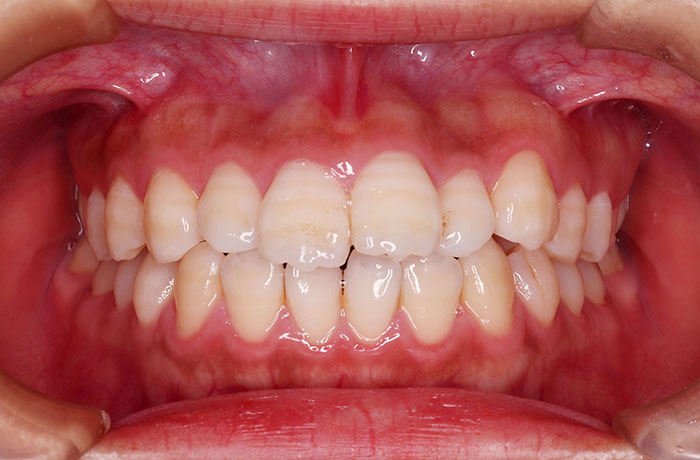
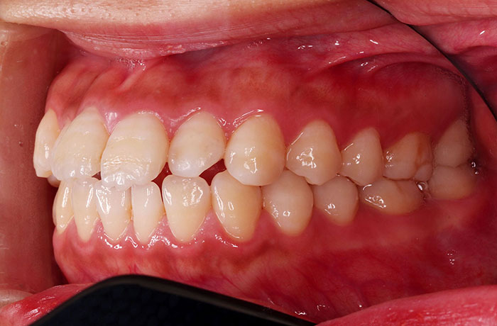
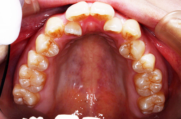
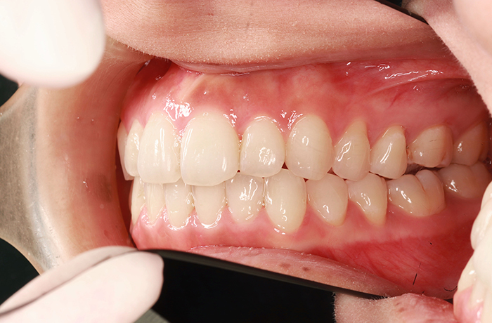
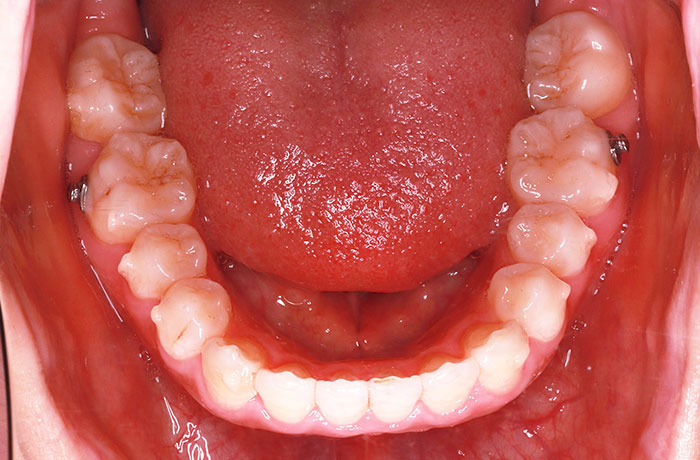
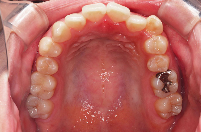
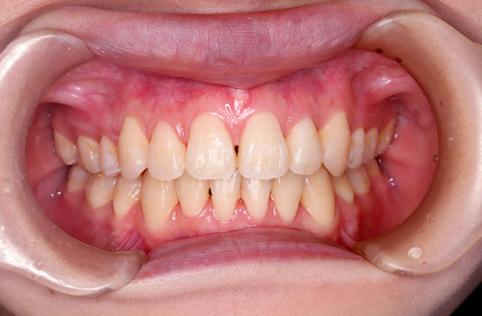
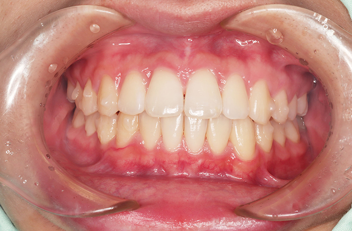
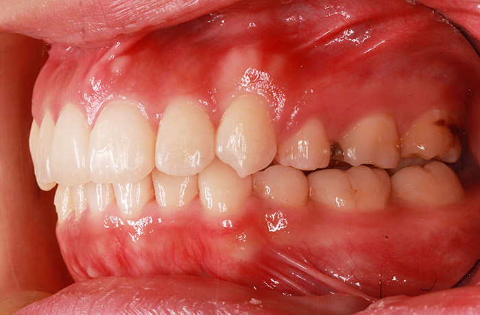
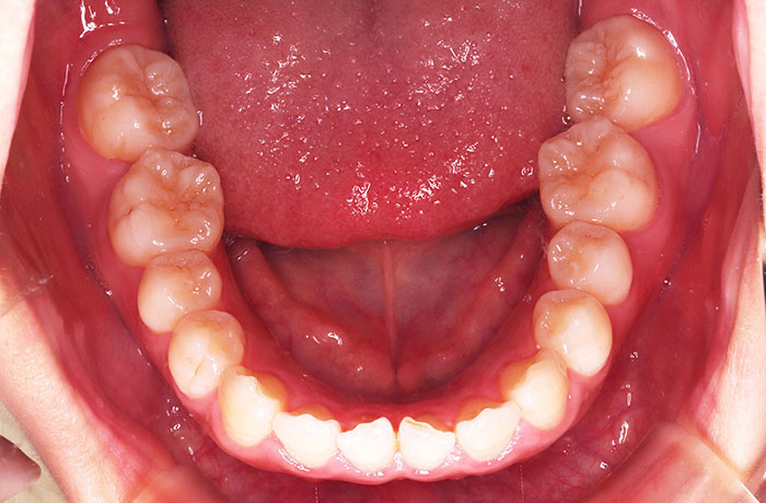
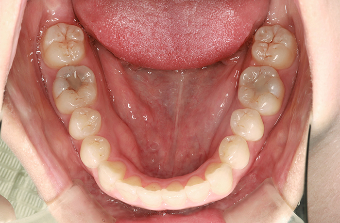
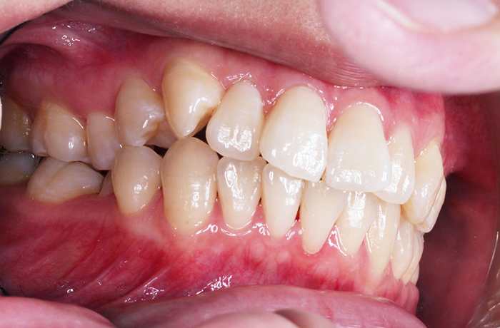
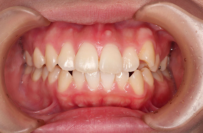
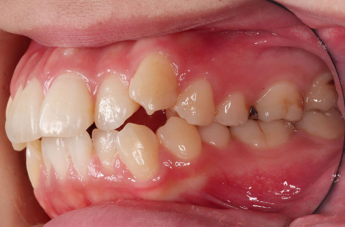
A様

治療前

before
before
before
before
before

治療後

after
after
after
after
after
年齢 31歳
性別 女性
治療名称 マウスピース型カスタムメイド矯正歯科装置(インビザライン)・コンプリヘンシブパッケージ(難症例)
総額治療費用 935,000円(税込10%) 金額備考 精密検査料・診断料 33,000円(税込10%)
治療期間 3年4か月 通院頻度など 1か月ごと(途中から3~4か月ごと)
その他治療に関する情報
マウスピースの装着時にホワイトニングを兼用
ホームホワイトニング 両顎 30,800円(税込10%)
治療内容
患者の症状 叢生、正中のずれ、上顎左右側切歯の口蓋側転位(交叉咬合)
治療方法 非抜歯で、マウスピース型カスタムメイド矯正歯科装置(インビザライン)による矯正
歯列弓を拡大することで非抜歯を可能にしました。
治療結果 側切歯の交叉咬合は解消、上下正中のずれも改善し咬み合わせが良くなりました。
※治療結果は患者様によって個人差があります。
その他治療に関する情報
転勤されため、途中から通院間隔が延びました。
治療を行う上での注意点
リスク/副作用 1日22時間以上、装置の装着時間が必要です。
Topページ

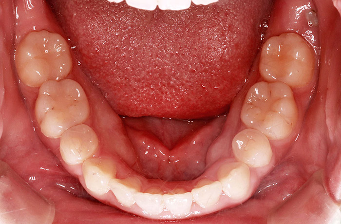
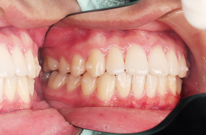
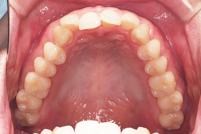
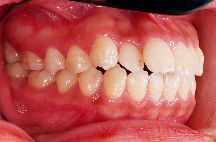
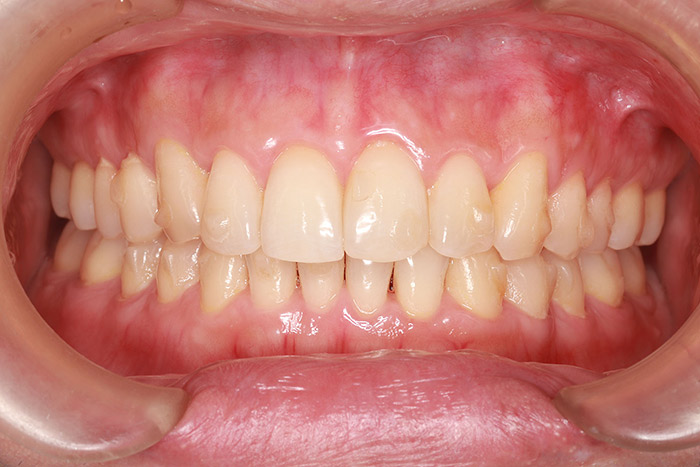
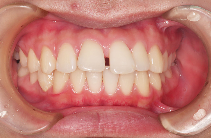
H様

治療前

before
before
before
before
before

治療後

after
after
after
after
after
年齢 24歳
性別 女性
治療名称 マウスピース型カスタムメイド矯正歯科装置(インビザライン)・コンプリヘンシブパッケージ(フルパッケージ)
総額治療費用 770,000円(税込10%) 金額備考 精密検査料・診断料 33,000円(税込10%)
治療期間 10か月 通院頻度など 1か月ごと
その他治療に関する情報  
治療内容
患者の症状 上顎前歯の前突、開咬、下顎前歯部の空隙
治療方法 非抜歯で、マウスピース型カスタムメイド矯正歯科装置による矯正
上顎臼歯の遠心移動とIPR(歯間隣接面を削合)しました。
治療結果 上顎前歯の前突、開咬が改善されました。
その他治療に関する情報 顎間ゴムの使用を24時間指示しました。
治療を行う上での注意点
リスク/副作用 1日22時間以上、装置の装着と顎間ゴムの使用が必要です。
Topページ

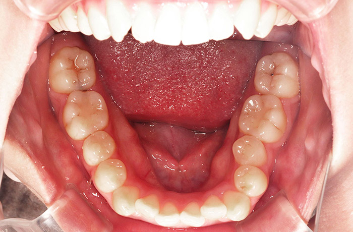
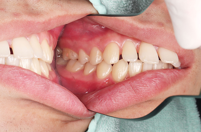
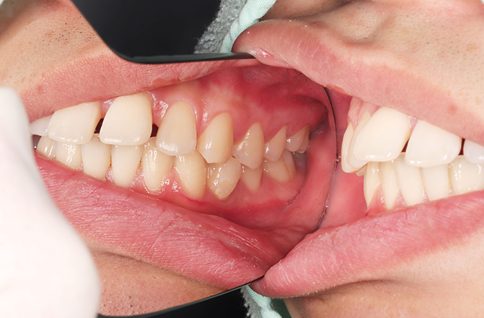
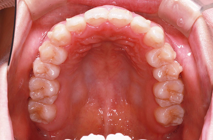
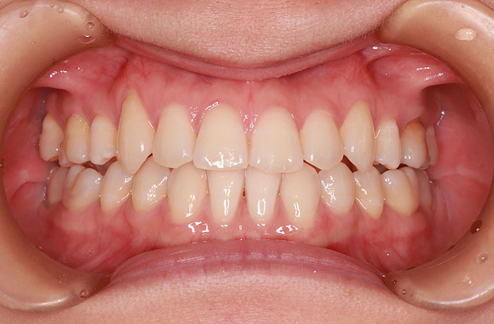
I様

治療前

before
before
before
before
before

治療後

after
after
after
after
after
年齢 34歳
性別 男性
治療名称 マウスピース型カスタムメイド矯正歯科装置(インビザライン)・コンプリヘンシブパッケージ(フルパッケージ)
総額治療費用 770,000円(税込) 金額備考 検査・診断料33,000円含む
治療期間 8か月 通院頻度など 40日ごと
その他治療に関する情報 1枚につき10日装着を指示しました。
治療内容
患者の症状 上顎前歯の凸凹
治療方法 非抜歯で、マウスピース型カスタムメイド矯正歯科装置による矯正
治療結果 歯並び、咬み合わせが良くなりました。
その他治療に関する情報 歯並びをより良くするために追加でアライナーを発注しました。
治療を行う上での注意点
リスク/副作用 スペース不足を解消するために歯と歯の間をわずかに削合しました。
Topページ

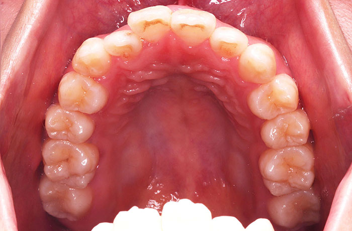
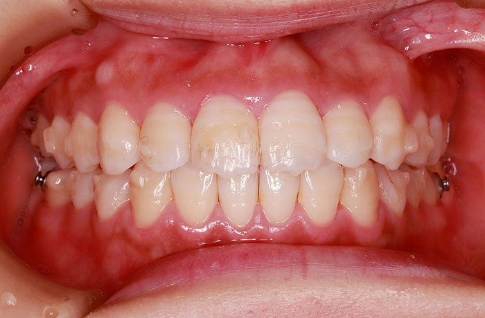
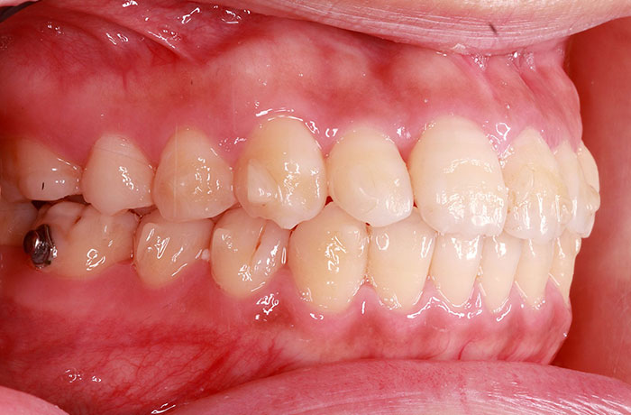
K様

治療前

before
before
before
before
before

治療後

after
after
after
after
after
年齢 27歳
性別 女性
治療名称 マウスピース型カスタムメイド矯正歯科装置(インビザライン)・コンプリヘンシブパッケージ(フルパッケージ)
総額治療費用 770,000円(税込10%) 金額備考 精密検査料・診断料 33,000円(税込10%)
治療期間 1年11か月 通院頻度など 40日ごと
その他治療に関する情報
1枚につき10日装着を指示しました。
治療内容
患者の症状 上顎前歯の前突、八重歯
治療方法 上下左右の第一小臼歯抜歯で、マウスピース型カスタムメイド矯正歯科装置による矯正
治療結果 上顎前歯の前突、八重歯が改善されました。
その他治療に関する情報
歯並びをより良くするために追加でアライナーを発注しました。
治療を行う上での注意点
リスク/副作用 決められた時間装着する必要があります。
Topページ

M様

治療前

before
before
before
before
before

治療後

after
after
after
after
after
年齢 21歳
性別 男性
治療名称 マウスピース型カスタムメイド矯正歯科装置(インビザライン)・コンプリヘンシブパッケージ(フルパッケージ)
総額治療費用 770,000円(税込10%) 金額備考 精密検査料・診断料 33,000円(税込10%)
治療期間 1年 通院頻度など 1か月ごと
その他治療に関する情報
 
治療内容
患者の症状 上顎前突、前歯離開
治療方法 マウスピース型カスタムメイド矯正歯科装置(インビザライン)による矯正
治療結果 歯列改善、咬合状態が良くなりました。
※治療結果は患者様によって個人差があります。
治療を行う上での注意点
リスク/副作用 20時間以上、装置の装着時間が必要です。
Topページ

ワイヤー矯正の症例

T様

治療前

before
before
before
before
before

治療後

after
after
after
after
after
年齢 28歳
性別 女性
治療名称 唇側ブラケット装置(ワイヤー矯正)
総額治療費用 880,000円(税込10%) 金額備考 精密検査料・診断料 33,000円(税込10%)
治療期間 2年6か月 通院頻度など 1か月ごと
治療内容
患者の症状 叢生、上下顎前突
治療方法 上下顎小臼歯の4本抜歯して唇側マルチブラケット装置にて矯正
治療結果 叢生の解消、口元の突出感も緩和され咬み合わせが良くなりました。
※治療結果は患者様によって個人差があります。
その他治療に関する情報 装置撤去までの通院回数は23回、その後の保定期間(2年間)は3か月に1度の通院。
治療を行う上での注意点
リスク/副作用 治療前に親知らずの抜歯が必要な場合があります。
Topページ

リンガル/ワイヤー矯正

Y様

治療前

before
before
before
before
before

治療後

after
after
after
after
after
年齢 26歳
性別 女性
治療名称 リンガルブラケット装置
総額治療費用 1,320,000円(税込10%) 金額備考(任意) 精密検査料・診断料 33,000円(税込10%)
治療期間 3年 通院頻度など 1か月ごと
治療内容
患者の症状 八重歯、下顎両側側切歯先天欠如
治療方法 上顎左右小臼歯の2本抜歯してリンガルブラケット装置にて矯正
治療結果 叢生が解消され、口元の突出感も緩和され、咬み合わせが良くなりました。
その他治療に関する情報 歯並びが改善後は後戻りの防止のため、定期的な観察が必要です。(年3~4回)
治療を行う上での注意点
リスク/副作用 歯磨きの徹底、間食を控えるなどの制限があります。
Topページ