矯正症例について|新着情報(詳細)│大阪梅田の歯医者 アモウデンタルクリニック 

各線梅田駅徒歩5分/土曜診療/女性医師在籍

新着情報 NEWS

新着情報2022.10.13

矯正症例について

矯正症例について
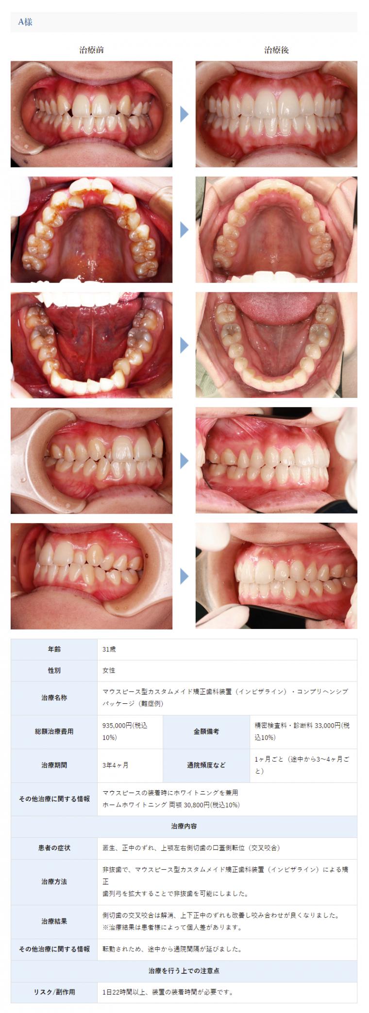
矯正治療の症例写真を、ごらんいただけるようになりました。
マウスピース矯正、ワイヤー矯正、当院で笑顔になられた患者様のご協力を得まして、お写真を掲載させていただいております。
矯正治療を検討されている患者様の、ご参考になれば幸いです。

「矯正治療症例」ページへ